Heil- und Kostenplan erhalten?
Lassen Sie ihn unverbindlich prüfen
Wir helfen Ihnen, Kosten, Ablauf und Optionen besser zu verstehen – bevor Sie sich entscheiden.
Zahnbehandlung in Budapest
Kosten verstehen, richtig entscheiden
Deutliche Ersparnis – mit klarer Planung und transparenter Organisation.
So läuft eine begleitete
Zahnbehandlung im Ausland ab
Strukturiert, verständlich und mit persönlicher Unterstützung.
Vorher-Nachher-Galerie – Beeindruckende Ergebnisse unserer Zahnbehandlungen
Hier präsentieren wir Ihnen einige der beeindruckenden Ergebnisse unserer Zahnbehandlungen in der Zahnklinik Budapest. Lassen Sie sich inspirieren und sehen Sie selbst, wie wir das Lächeln unserer Patienten verwandeln konnten.
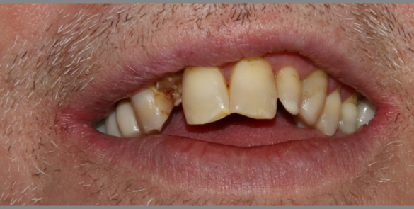
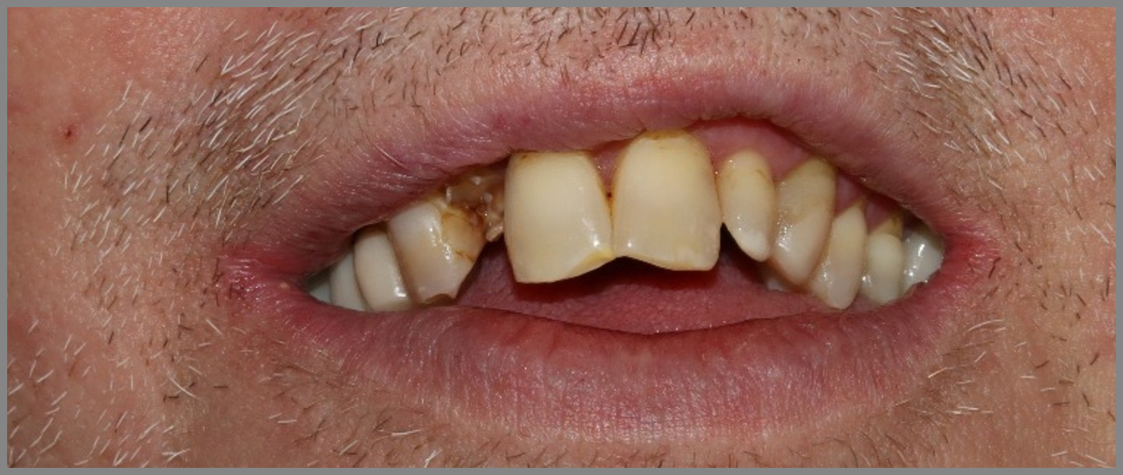
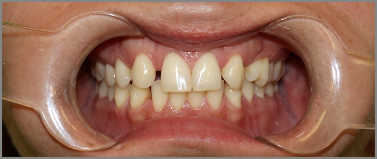
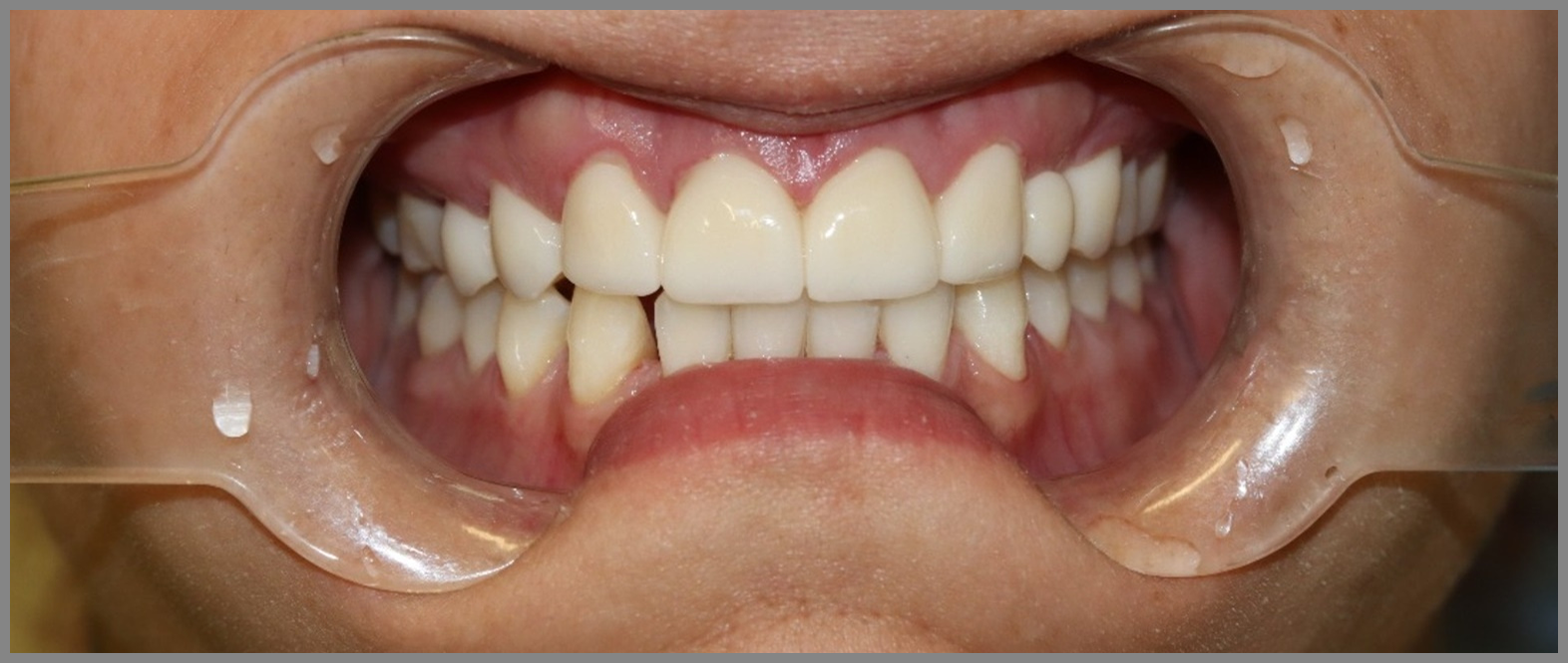
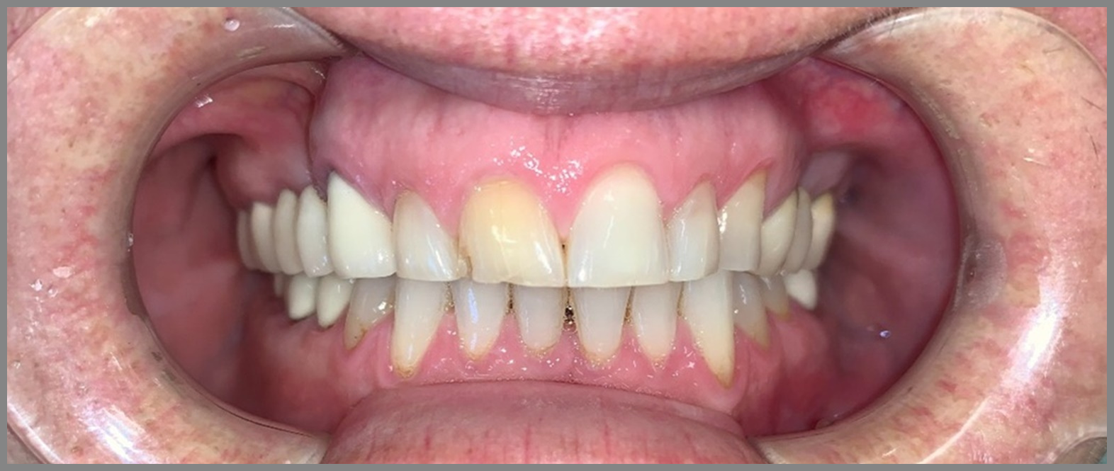
18 Keramikkronen; 10 Tage – 7.450 €.
Vorher:
Der Patient hatte stark abgenutzte Zähne mit mehreren Verfärbungen. Nachher: Mit 18 neuen Keramikkronen konnte der Patient ein strahlendes Lächeln und eine verbesserte Kauffunktion genießen
8 Implantate, Ober-, Unterkiefer Stegbrücke – 12.000 €
Vorher:
Fehlende Zähne im Ober- und Unterkiefer führten zu Schwierigkeiten beim Kauen und Sprechen. Nachher: Die Implantate und die Stegbrücke sorgten für eine stabile, funktionale und ästhetische Lösung.
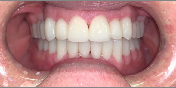
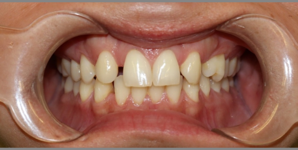
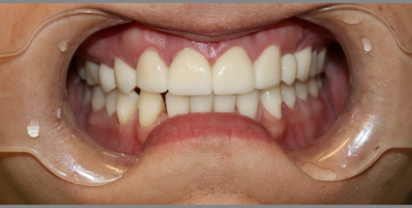
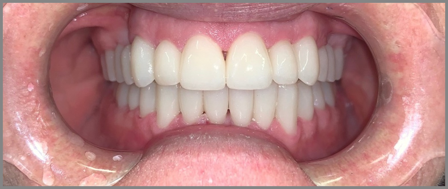
28 Zirkon Kronen; 10 Tage – 11.000 €
Vorher:
Der Patient hatte stark abgenutzte und verfärbte Zähne. Nachher: Mit 28 Zirkonkronen erhielt der Patient ein natürlich aussehendes und langlebiges Lächeln
7 Implantate, 13 Zirkon Teleskopkronen, OK-UK Teleskop Prothesen BioHPP (Premium) 12 Tage – 19.000 €
Vorher:
Stark beschädigte und verfärbte Zähne. Nachher: Die Vollkeramik Kronen gaben dem Patienten ein neues, strahlendes Lächeln zurück.
12 Zirkonkronen; 5 Tage – 4.500 €
Vorher:
Zahnloser Kiefer mit erheblichen Problemen beim Essen und Sprechen. Nachher: Die Kombination aus Implantaten und Teleskopprothesen bot eine ästhetische und funktionale Lösung.
20 Metallkeramikkronen; 5 Tage – 5.500 €
Vorher:
Abgenutzte und verfärbte Zähne. Nachher: Die Zirkonkronen sorgten für ein natürliches und langlebiges Ergebnis.
Kontaktieren Sie uns
Haben Sie Fragen oder möchten Sie eine ähnliche Behandlung in unserer Zahnklinik in Budapest?
Füllen Sie das Kontaktformular aus oder rufen Sie uns an.
Unser erfahrenes Team steht Ihnen jederzeit zur Verfügung, um Ihnen bei Ihren Zahnbehandlungsbedürfnissen zu helfen.











